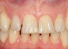
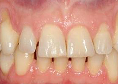
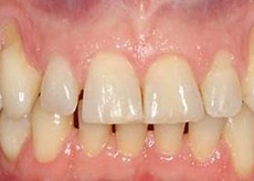
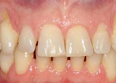
잇몸 내려앉음이라고도 부르는 잇몸퇴축은 잇몸 조직이 상실되어 치아의 뿌리가 노출되어 보이는 증상을 이야기합니다.
찬 음식이나 뜨거운 음식을 먹을 때 이가 시리거나, 칫솔질 시 잇몸에서 피가 자주 나거나 잇몸이 붓고 붉어지는 경우, 치아가 흔들릴 때 주로 잇몸퇴축을 의심할 수 있는데요.
오늘은 잇몸 내려앉음, 잇몸퇴죽의 원인과 증상, 치료, 예방 방법에 대해서 알아보겠습니다.

잇몸 내려앉음 원인
보통 나이가 들어감에 따라 노화에 의해 잇몸퇴축이 많이 진행되는데요. 그 외에도 치석이나 잘못된 양치습관, 흡연등도 잇몸 내려앉음의 원인이 될 수 있습니다.
● 잇몸병, 치주질환
가장 흔한 원인으로, 잇몸에 쌓인 플라크와 치석이 잇몸에 염증을 일으키고 잇몸뼈를 파괴합니다. 초기에는 잇몸이 붓고 출혈이 발생하며, 심해지면 잇몸에서 고름이 나오기도 합니다. 정기적인 스케일링으로 치석제거를 해주는 것이 좋습니다.
● 잘못된 칫솔질, 이쑤시게 사용
칫솔질을 너무 세게 하거나, 칫솔모가 닳은 칫솔을 사용하면 잇몸이 손상될 수 있습니다. 특히 잇몸 라인을 따라 칫솔질을 하면 잇몸퇴축이 더 빨리 진행될 수 있습니다. 이쑤시개 사용도 잇몸 내려앉음의 원인이 될 수 있으니 사용을 자제하는 것이 좋습니다.
● 부정교합
위아래 턱의 맞물림이 정확하지 않으면 특정 부위에 과도한 힘이 가해져 잇몸이 퇴축되기도 합니다.
● 건조한 입안
침은 구강 내 세균을 억제하고 잇몸을 보호하는 역할을 합니다. 침이 부족하여 입안이 건조해지면 세균이 번식하기 쉽고, 잇몸 퇴축 증상이 나타날수 있습니다.
● 흡연
흡연은 혈관을 수축시켜 잇몸 조직에 산소 공급을 방해하고, 면역력을 저하시켜 잇몸병을 악화시키는 원인이 되기도 합니다.
● 약물 부작용
칼슘 채널 차단제나, 비스테로이드성 소염진통제, 항경련제, 경구용 코르티코스테로이드등 일부 약물은 잇몸 퇴축을 부작용으로 일으킬 수 있습니다.
● 노화
나이가 들면 노화에 따라 잇몸이 퇴축될 가능성이 높아집니다.

잇몸 내려앉음 증상
● 치아 시림
잇몸이 내려앉으면서 치아 뿌리에 있는 신경과 직접적인 접촉이 생겨 찬물이나 뜨거운 음식을 먹을 때 시린 증상이 나타나며 음식섭취가 아니더라도 차가운 공기에 노출되었을 때도 시린 증상을 쉽게 느껴 일상에 불편함을 느낄 수 있습니다.
● 잇몸 출혈과 염증, 입냄새
잇몸이 붉게 변하고 붓는 증상인 잇몸 염증이 쉽게 생기고, 칫솔질 시 잇몸에서 피가 나는 경우가 잦아집니다. 또한 잇몸 염증으로 인해 입 냄새가 심해지기도 합니다.
● 치아 흔들림, 풍치
잇몸뼈가 파괴되면 치아가 흔들리는 풍치증상이 나타나다가 심하면 빠질수도 있습니다.
● 치아 사이 공간이 넓어짐
잇몸이 내려앉으면서 치아 사이 공간이 넓어져 음식물이 끼기 쉬우며 이는 충치와 치주질환을 더 잘 일으키게 할 수 있습니다.
● 치아가 길어 보임
잇몸이 내려앉으면 상대적으로 치아가 길어 보이는 효과가 나타나 미관상으로 좋지는 않습니다.

잇몸 내려앉음 치료
● 치주과 치료
잇몸병이 원인인 경우, 먼저 잇몸병을 치료해야 합니다. 스케일링, 잇몸치료 등을 통해 잇몸 염증을 제거하고 잇몸뼈를 재생시킵니다.
● 결합조직 이식술
잇몸 이식술의 한 종류로, 입천장에서 결합 조직을 채취하여 잇몸과 뼈 사이에 이식하는 수술입니다. 잇몸 퇴축이 심하지 않은 경우에 적용됩니다.
● 잇몸 이식술
잇몸이 많이 퇴축된 경우, 입천장이나 다른 부위에서 잇몸 조직을 채취하여 퇴축된 부위에 이식하는 수술입니다. 노출된 치근을 덮어 시림을 완화하고 심미성을 개선할 수 있습니다.
● 레이저 치료
잇몸 염증을 제거하고 잇몸 조직을 재생시키는 데 레이저를 사용하는 치료 방법입니다.
● 보존 치료
시린 증상을 완화하기 위해 레진이나 글래스 아이오노머 시멘트 등으로 치아 뿌리 부분을 덮는 치료입니다.
잇몸 내려앉음 예방
● 꼼꼼한 구강 위생 관리
정기적인 치과 검진으로 치석을 제거하고, 올바른 칫솔질, 치실 사용 등으로 구강 위생을 철저히 관리해야 합니다. 특히 칫솔사용 시 부드러운 칫솔모로 잇몸을 자극하지 않도록 주의해야 합니다.
● 딱딱하거나 자극적인 음식 피하기
딱딱하거나 질긴 음식은 잇몸에 자극을 주어 잇몸퇴축을 가속화 시킬수 있는 원인이 될 수 있습니다. 딱딱하고 질긴 음식을 피하고 너무 뜨겁거나 차가운 음식도 가급적 삼가야 합니다.
● 흡연 삼가
흡연은 잇몸병을 악화시키는 주요 원인 중 하나입니다. 금연을 필수로 하는 것이 중요합니다.



마무리
오늘은 잇몸 내려앉음, 잇몸퇴죽의 원인과 증상, 치료, 예방 방법에 대해서 알아보았습니다.
잇몸퇴축은 방치하면 치아를 잃을 수도 있는 심각한 질환입니다. 초기에는 간단한 치료로 회복될 수 있지만, 질병이 진행될수록 치료가 어려워지고 치아를 발치해야 하는 경우도 발생할 수 있습니다.
잇몸에 이상이 있다고 생각되면 지금 바로 치과에 방문하여 진료를 받는 것이 좋습니다.
중성지방 낮추는법 중성지방 정상수치 자세히 살펴보기
중성지방은 우리 몸에 에너지를 저장하는 형태의 지방으로 체온을 유지할 수 있게 해 주고, 장기를 보호하며, 지용성 비타민의 흡수를 돕는 등 적정수치의 중성지방은 우리 몸에 필요한 존재입
jade-info.com
'건강정보' 카테고리의 다른 글
| 엠폭스 증상 확산 감염경로 백신 예방접종 치료 방법 알아보자 (1) | 2024.08.18 |
|---|---|
| 다이글로메라 효능 추출물 가격 부작용 다이어트에 효과 있을까? (0) | 2024.08.17 |
| 햇빛 알레르기 증상 원인 예방 피부발진 가려움증 있을때 대처법 알아보자 (0) | 2024.08.14 |
| 히비스커스 차 효능 먹는법 부작용 카페인 들어있을까? (0) | 2024.08.13 |
| 보생원 생맥산 효능 가격 복용법 여름철 더위먹었을때 효과 있을까? (0) | 2024.08.12 |